Composite Laminates

A laminate is a wafer-thin shell of tooth coloured composite (about 1mm thick) that is bonded onto the front side of a tooth to improve the colour, shape, position or size.
Why would I need a composite laminate?
This might be necessary where a tooth is discoloured, chipped, worn, malformed or where there are gaps between your teeth or where they do not look straight. Laminates can produce dramatic improvements in appearance while no tooth material is removed and you usually won't even need anaesthetic.
How long does a composite laminate last?
A laminate should last for many years. We are confident of the quality of our laminates so we guarantee them for 1 year.
What does a composite laminate cost?
Private composite laminates cost from £225.00.
How does the dentist prepare a tooth for a composite laminate?
The tooth is polished using a brush or air abrasion. The desired shade of tooth is decided. Then tooth conditioner is applied to the enamel surface, following which the composite is built up in layers and set using a light curing wand. The tooth is then polished with different grades of abrasive disc and varnished to give the tooth a natural appearance.
Are there any alternatives to composite laminates?
Yes. Your dentist might be able to use a porcelain veneer or crown. Whether these are suitable depends on the condition of the tooth. If veneers are being considered to correct uneven teeth or teeth that do not look straight, orthodontic treatment may be an alternative.

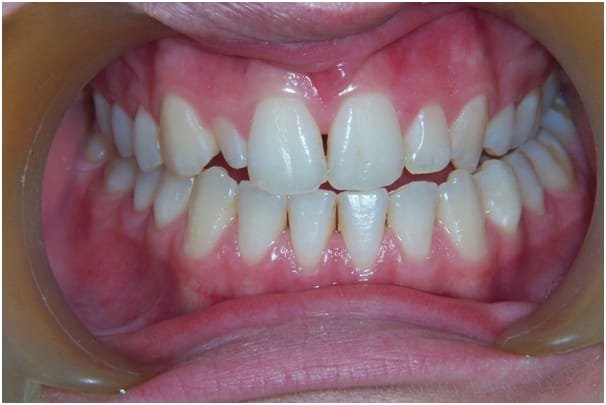
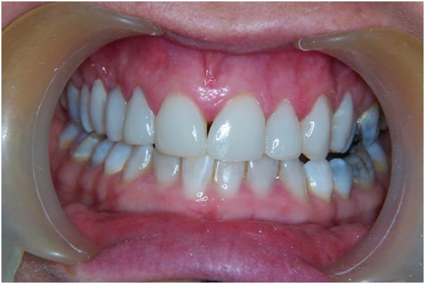
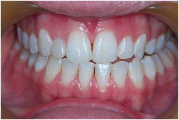
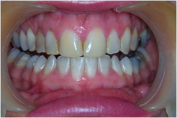
Use your cusor to drag left and right to see the before and after pictures