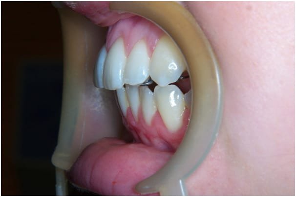
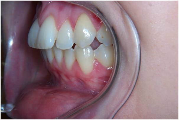
Lingual Invisible Braces


Why have lingual treatment?
Many different kinds of orthodontic systems are available and each has its own advantages. The outstanding advantage of lingual braces is that they are completely hidden so patients have no need to feel self-conscious while their teeth are straightened. Mechanically, lingual braces are every bit as effective as traditional systems and for some problems, they can be more effective. Treatment times are roughly the same.
Those are the pros, what about cons?
There may be a temporary change in how you speak at the outset of treatment but the tongue soon adapts to having the brackets at the back of your teeth. Like all orthodontic systems, there will be some discomfort for the first 7-10 days but this soon eases.
Is lingual suitable for all cases?
Lingual orthodontics is suitable and effective for most people. It is not recommended for the young, those in their early teens, because their teeth may not have fully erupted. As with any course of orthodontic treatment, the patient should have healthy teeth and gums.
Why does lingual treatment cost more?
The system of brackets behind the teeth requires more complex, tailored fabrication. For the orthodontic specialist, there is also more preparation time involved.
How long does treatment take?
Length of treatment varies from patient to patient. Simple realignment cases can take only a few months while the majority take up to 18 months and only the most complex cases take longer.
Anything else I should know?
During treatment you will need to take additional care of your oral hygiene to maintain the health of the teeth around the brackets.

Teeth are responsive to orthodontic treatment but in the long-term they will need to be held in their new positions by retainers. Your orthodontist will recommend that once treatment is completed, you have fixed or removable retainers.
How much does it cost?
Top Arch £2160.00

Bottom Arch £2160.00

Both Arches £3360.00

Use your cusor to drag left and right to see the before and after pictures